Full Body X-Ray Phantom

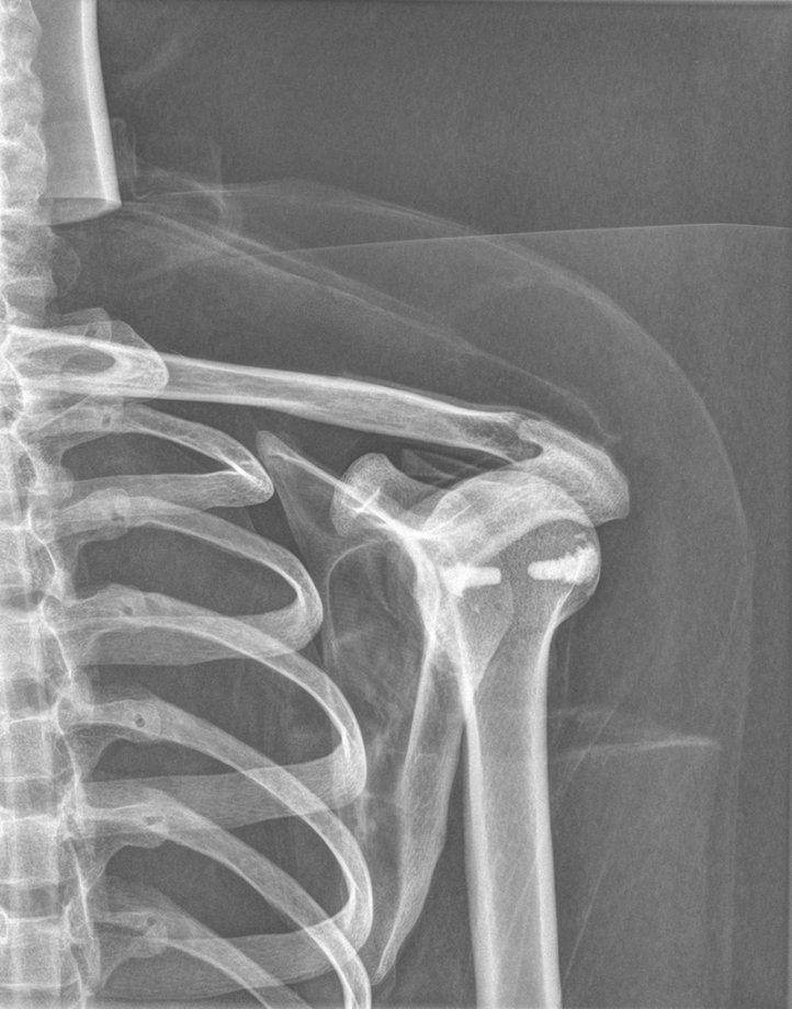
This model is unique in the world and provides excellent training opportunities for positioning and alignment techniques in projection radiography. It should be part of the basic equipment of any radiographic school. The phantom contains a real human skeleton as well as outlines of larynx, lung, heart and kidneys (organs will create a shadow on the image), which allows taking real X-ray images like in a patient. Using a real skeleton provides even smallest guiding structures which is impossible with a plastic skeleton. During assembly of this phantom we pay special attention to the correct size of joint spaces. All joints are moveably mounted allow positioning in all normal x-ray positions (e.g. frog position, pro- and supination of lower arm). The arms can be moved upwards which makes the phantom suitable for use in all kinds of osseous examinations under CT. Each phantom is hand-made one of a kind; it may differ in size and appearance. Depending on the individual phantom it may have some pathologies, outer shape may differ depending on size of the skeleton. The new version was re-designed in co-operation with a well-known German school for radiographers and fits all needs for education in radiography. This phantom is only sold against proof of medical use. Life size.

Full Body X-Ray Phantom
Full Body X-Ray Phantom
Full Body X-Ray Phantom
Full Body X-Ray Phantom
Full Body X-Ray Phantom
Full Body X-Ray Phantom
Full Body X-Ray Phantom
Full Body X-Ray Phantom
Full Body X-Ray Phantom
Full Body X-Ray Phantom
Full Body X-Ray Phantom
Full Body X-Ray Phantom
Full Body X-Ray Phantom
Full Body X-Ray Phantom
Full Body X-Ray Phantom
Full Body X-Ray Phantom
Full Body X-Ray Phantom
Full Body X-Ray Phantom
Full Body X-Ray Phantom
Full Body X-Ray Phantom
Full Body X-Ray Phantom
Full Body X-Ray Phantom